light
Invidious
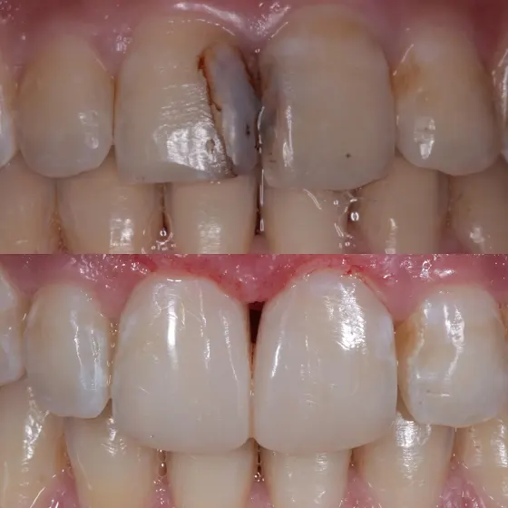
Ahmed Saad
Direct composite
5 years ago
|
[YT]
|
19
Hi! Looks like you have JavaScript turned off. Click here to view comments, keep in mind they may take a bit longer to load.
Contact: tinbox@tiekoetter.com
Ahmed Saad
Direct composite
5 years ago | [YT] | 19