Стоматология Prima Dent • Москва
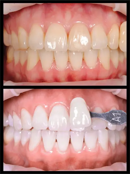
ЭТО НОРМАЛЬНО 👇 Хотеть белоснежную улыбку во времена моды на естественность. Кто бы что ни говорил, такая улыбка притягивает взгляды и очаровывает. У нашей пациентки был запрос на осветление эмали. Мы провели процедуру отбеливания на аппарате Zoom4 всего за 2 часа. Результат говорит сам за себя.Ярко? Безусловно! Но главное, что максимально щадяще для эмали. Тоже мечтаете о светлой улыбке? Мечтам суждено сбываться 😉 Не пропустите следующий пост!*имеются противопоказания. Необходима консультация специалиста.—Адрес клиники "PrimaDent":📍 Москва, Хорошёвское шоссе, д.46Ⓜ️ метро Беговая☎️ +7-915-185-54-45
3 weeks ago | [YT] | 7
Стоматология Prima Dent • Москва
ЭТО НОРМАЛЬНО 👇
Хотеть белоснежную улыбку во времена моды на естественность. Кто бы что ни говорил, такая улыбка притягивает взгляды и очаровывает.
У нашей пациентки был запрос на осветление эмали. Мы провели процедуру отбеливания на аппарате Zoom4 всего за 2 часа. Результат говорит сам за себя.
Ярко? Безусловно! Но главное, что максимально щадяще для эмали.
Тоже мечтаете о светлой улыбке? Мечтам суждено сбываться 😉 Не пропустите следующий пост!
*имеются противопоказания. Необходима консультация специалиста.
—
Адрес клиники "PrimaDent":
📍 Москва, Хорошёвское шоссе, д.46
Ⓜ️ метро Беговая
☎️ +7-915-185-54-45
3 weeks ago | [YT] | 7