버림받은 리트리버들에게 새 삶을 선물합니다.농협 351-1192-4455-13 (한국리트리버레스큐)방치 학대, 안락사 위기의 리트리버 아이들을 구조하여치료, 보호, 평생 가족을 만나 새 삶을 살아가는 모습을 전합니다.
한국리트리버레스큐( Korea Retriever Rescue)
25.11.16 | 캐스퍼, 폐부종과 혈전으로 재입원캐스퍼가 폐부종을 진단받고 입원과 퇴원을 반복하며 어려운 치료를 이어나가고 있는 중이었는데요ㅠ오늘 아침부터 컨디션이 좀 떨어지다가 피가 섞인 토를 해서 급하게 병원에 다시 진료를 받으러 갔습니다대표님이 집에서 매일 산소치료와 약물치료를 병행했지만 진단받은 폐부종과 혈전이 좀처럼 나아지지 않고 있습니다ㅠ진료결과 수치가 그다지 나아지지 않고 좋지 않은 상태를 보이고 있기에 캐스퍼는 다시 병원에 입원하여 집중치료를 받게 되었습니다.폐 관련 질환은 빠른 시일내에 쉽사리 나아지지 않습니다. 캐스퍼도 지켜본 결과 입원이 길어질 것으로 보입니다.캐스퍼에게 사랑받는 가족을 만들어주고 싶은데 쉽지 않네요ㅠ우리 캐스퍼가 건강해질 수 있도록 도와주세요.대형견의 입원과 집중치료의 병원비는 믿을 수 없이 큰 비용이 듭니다. 캐스퍼에게 필요한 도움을 줄 수 있도록 마음을 보태주세요.💖캐스퍼의 병원비 모금에 동참해주세요. 💕만원릴레이로 힘이 되어주세요.🔽🔸농협-351-1192-4455-13 한국리트리버레스큐🔸paypal-dlwns8050@kakao.com🔸정기후원신청-인스타상단 링크트리 클릭✅ 공제자 명의의 실명이 포함된 후원만 기부금 공제가 가능합니다.🚩한국리트리버레스큐는 회원님들의 후원금으로 운영이 되는 비영리단체입니다. 소중한 후원금의 사용내역은 매월 투명하게 공개됩니다.
10 hours ago | [YT] | 907
View 13 replies
📢 2025년 기부금 영수증 발급 신청 안내 드립니다.✔️2025년 12월 31일까지 자료 제출 부탁 드립니다. 기한내에 제출하셔서 발급을 완료해야 연말정산 간소화 서비스에서 확인 가능 하십니다.기부금영수증 발행의 경우 주민등록번호(뒷자리 포함)가 반드시 필요합니다.한국 리트리버 레스큐는 비영리 민간단체로써 개인과 개인사업자에게 기부금영수증 발행이 가능합니다.📌정기후원 CMS로 기부중인 회원님께서는 별도의 자료가 필요하지 않습니다. 자동발급 되니 중복신청에 유의해 주세요. 📌이중발급은 신청자 본인에게도 불이익이 될 수 있습니다.ㅡㅡㅡㅡㅡㅡㅡㅡ*일시후원,물품후원 등 추가 내용만 보내 주시면 됩니다.*기부금영수증에 관한 자료는 이메일로 받습니다. *메일제목에 성함 꼭 써주세요*🎈 pvc79@naver.com 기부금영수증 발급에 필요한 자료와 문의사항 보내주세요1. 성명 :2. 주민등록번호전체 :3. 기부금영수증 총 발행금액 :4. 연락처 :5. 이메일주소6. 현금후원의 경우 : 이체내역 증빙 (은행 앱 또는 이체확인증, ATM 영수증캡쳐본) 첨부7. 현물후원의 경우 : 현물의 구매영수증 캡쳐사진, 수량, 총 금액※ 파일이 여러개인경우 압축해서 업로드 해주세요 (총 용량 100MB 이하만 업로드 가능)
2 days ago | [YT] | 407
View 1 reply
오늘도 리버큐 쉼터는 웃음소리와 꼬리 흔드는 소리로 가득합니다.각자의 아픈 사연을 안고 구조된 아이들이지만, 이곳에서는 모두 가족이 되었어요.처음엔 서로 낯설어 조심스러웠던 아이들도이젠 함께 놀고.햇살 좋은 날이면 마당에 나와 꼬리를 흔들며 장난을 치고서로의 몸에 기대어 잠이 듭니다.아픔을 겪었던 아이들이지만이젠 서로의 존재 덕분에 다시 웃음을 배우고 있습니다.우리 아이들이 이렇게 행복하게 지낼 수 있도록따뜻한 관심과 응원 보내주신 모든 분들께 감사드립니다.🔸농협-351-1192-4455-13 한국리트리버레스큐🔸paypal-dlwns8050@kakao.com🔸정기후원신청-인스타상단 링크트리 클릭✅ 공제자 명의의 실명이 포함된 후원만 기부금 공제가 가능합니다.🚩한국리트리버레스큐는 회원님들의 후원금으로 운영이 되는 비영리단체입니다. 소중한 후원금의 사용내역은 매월 투명하게 공개됩니다
2 days ago | [YT] | 1,281
View 9 replies
25.11.11 | 캐스퍼, 퇴원캐스퍼가 퇴원했습니다.대표님 집에서 산소치료와 약을 통해 치료와 케어에 집중하려고 합니다.당분간 집에서 케어를 하면서 병원 검진도 병행하고자 합니다.일주일 입원비가 250만원이 청구되었네요ㅠ현미 수술비에 다른 아이들 사상충 치료비까지 현재 우리 단체는 재정난에 흔들리고 있습니다. 하지만 아낄 수도 없는 비용이 치료비입니다.아이들이 건강해져서 가족의 품에 갈 수 있도록 치료비에 힘을 보태주세요.💖캐스퍼의 병원비 모금에 동참해주세요. 💕만원릴레이로 힘이 되어주세요🔽🔸농협-351-1192-4455-13 한국리트리버레스큐🔸paypal-dlwns8050@kakao.com🔸정기후원신청-인스타상단 링크트리 클릭✅ 공제자 명의의 실명이 포함된 후원만 기부금 공제가 가능합니다.🚩한국리트리버레스큐는 회원님들의 후원금으로 운영이 되는 비영리단체입니다. 소중한 후원금의 사용내역은 매월 투명하게 공개됩니다.
4 days ago | [YT] | 1,237
View 6 replies
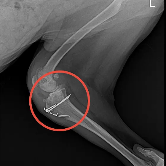
[3차수술] 현미단체 스텝이면서 현미의 임보가족으로 현미의 수술 후 회복사진을 보니 가슴이 미어집니다.🆘현미 예상 수술비 800만원 이상현재+캐스퍼 모금액 대략 200만원 조금 넘어요. 도와주세요현미는 번식장에서 태어나 펫샵 진열장에 전시되어 운좋게도 가족을 만나 집으로 갔지만 결국 덩치가 커지면서 파주의 공장 한켠에 버려졌습니다. 현미는 정말 운이 좋게 대표님이 현미의사연을 듣게되었고 아픈다리의 어린 아이를 공장 방치견으로 살게 둘수없어 리버큐의 가족이 되었습니다. 다리가 아픈친구라 쉼터생활이 힘들어서 저희집에서 지내며 치료후 미국으로 떠날 아이였지만 현미의 다리는 나날이 상태가 안좋아졌고 2차 병원 여러군데에서 진료를 보았습니다.아직 어린 아기라 성장판이 있었기때문에 진통제를 먹으며 견뎌오다 드디어 기다리던 1차 수술을 했지만 실패로 돌아왔고 한달 후 2차 수술 역시 실패였습니다.사회화를 배울시기에 혼자있는걸 배운 아이입니다.현미에게 더 넓은 세상을 보여주고자 임보를 선택했는데 제가 해줄수있는건 밥을 주고 배변을 시켜주는것외엔 없었습니다.사고칠나이에 그냥 조용히 누워 자는 안쓰런 아이입니다. 우리 현미가 3차 수술을 마지막으로 더이상 수술대에 눕는일이 없길 바랍니다.현미의 수술비가 생각보다 많이 청구될것같습니다.현미를 안타깝게 여기시고 커피한잔 양보해주세요.현미를 가장 가까이에서 보는 저의 간절한 울림이 이 글을 보는 회원님들께 전해지길 바랍니다.간절히 부탁드립니다.이 어린 아이를 가엽게 여겨주세요.▪️농협-351-1192-4455-13 한국리트리버레스큐▪️paypal-dlwns8050@kakao.com▪️정기후원신청-인스타상단 링크트리 클릭☑️공제자 명의의 실명이 포함된 후원만 기부금 공제 가능합니다.🚩한국리트리버레스큐는 회원님들의 후원금으로 운영되는 비영리단체입니다. 소중한 후원금의 사용내역은 매월 투명하게 관리됩니다
5 days ago | [YT] | 1,515
View 24 replies
아이들의 새 출발을 함께 지켜봐 주세요. 💛🐾동구협에서 아이들을 무사히 구조하여 드디어 리버큐에 잘 도착했습니다.안락사의 문턱에서 가까스로 생명을 건진 아이들이 이제 안전한 품으로 돌아왔어요.아직은 낯설고 두려운 눈빛이지만,이제부터는 따뜻한 밥과 포근한 잠자리, 그리고 사랑만 받으며 지낼 거예요.다섯 아이 모두 큰 문제 없이 건강하게 구조되어 정말 다행입니다.이 생명들을 살리기 위해 함께 마음 모아주신 모든 분들께진심으로 감사드립니다.이제 리버큐에서 새로운 희망의 하루를 시작할 다섯 아이들을따뜻하게 응원해 주세요. 💛🐾검진,사상충 치료와 중성화 아이들에게 만원릴레이에 동참해주세요 후원계좌 : 농협 351-1192-4455-13✔️ PayPal < dlwns8050@kakao.com ※소득공제용 기부금 영수증 발행 가능프로필링크를 통해 정기후원 및 기부금영수증 발행신청이 가능합니다.※ 프로필 링크를 통해 정기후원을 하시면 별도 신청없이 자동으로 기부금영수증이 발행됩니다.✅ 한국리트리버레스큐는 회원님들의 후원금으로 운영되는 비영리단체입니다. 소중한 후원금의 사용내역은 매월 투명하게 네이버 카페 한국리트리버레스큐에서 공개됩니다.#골든리트리버 #리트리버 #강아지 #대형견 #사지말고입양하세요 #동물권 #동물구조 #래브라도리트리버 #골든두들 #한국리트리버레스큐 #반려견 #개
1 week ago (edited) | [YT] | 1,353
View 14 replies
안녕하세요. 저는 한국리트리버레스큐 유기견구조단체에서 봉사활동을 하고 있는 봉사자입니다🙂구조된 강아지들이 캐나다에서 가족을 찾았지만 이동봉사자님을 찾기 어려워 가족을 만나지 못하고 있습니다.그래서 이렇게 도움 요청드리고자 글을 올리게 되었습니다. 이동봉사에는 어떤 경제적인 부담도 들지 않습니다. 그저 출국 당일 원래 오시는 시간보다 한시간 빨리 공항에 와주시면 됩니다. 모든 절차, 비용 모두 단체가 진행합니다. 도와주세요🥹관심이나 궁금하신 부분 있으시면 카톡 아이디 jihye-h 또는 jihye-h@naver.com으로 연락주시면 답변 드리도록 하겠습니다. 단체명(한국과 캐나다 모두), 정보, 절차도 모두 자세히 설명 드리겠습니다🙂읽어주셔서 감사드립니다. 부디 많은 관심 가져주시길 부탁드립니다.문의 카톡 Retriever80 #캐나다이동봉사 #벤쿠버 #토론토 #이동봉사급구 #라스베가스 #하늘길동행해주세요
1 week ago | [YT] | 1,162
🐾 새로운 시작을 앞둔 두 아이, 레이시과 맥레인 🐾 두아이는 내일 리버큐 품으로 이동합니다.안락사 직전에 극적으로 구조된 두 생명,골든리트리버 맥레인 과 믹스견 ‘레이시가이제 우리 품으로 오게 되었습니다.세상의 끝자락에서 구조된 아이들이지만,이제는 따뜻한 손길과 사랑을 배우며다시 살아갈 희망을 품게 되었습니다.맥레인과 레이시에게는이제 두려움 대신 사랑이, 외로움 대신 가족이 필요합니다.이 아이들의 새 출발을 함께 지켜봐 주세요.그리고 부디, 앞으로의 길이 더 이상 아프지 않기를… 🕊️💛💕두아이 도움주시 분들께 감사 인사 전합니다 🙏🔽🔸농협-351-1192-4455-13 한국리트리버레스큐🔸paypal-dlwns8050@kakao.com🔸정기후원신청-인스타상단 링크트리 클릭✅ 공제자 명의의 실명이 포함된 후원만 기부금 공제가 가능합니다.🚩한국리트리버레스큐는 회원님들의 후원금으로 운영이 되는 비영리단체입니다. 소중한 후원금의 사용내역은 매월 투명하게 공개됩니다.
1 week ago | [YT] | 1,204
💛 오늘, 세 생명이 철창을 나왔습니다오늘 우리는 동구협에서 세아이을 구조했습니다.며칠 전까지만 해도 이 아이들은“입양 문의가 없다는 이유로”안락사 명단에 오른 아이들이었습니다.좁고 차가운 철창 안에서누군가 자신을 보러 와주길,꼬리를 흔들어도 외면당하지 않길 바라던 아이들.오늘, 그 아이들이 드디어 밖으로 나왔습니다.처음 세상을 마주한 아이들의 눈빛은두려움과 설렘이 뒤섞인 듯 떨렸습니다.하지만 사람의 손길을 느끼자서서히 꼬리를 흔들며 마음을 열기 시작했습니다😍사람의 관심 한 번 없던 아이들이오늘은 여러분의 사랑으로 다시 숨을 쉬고 있습니다.오늘 세 아이는 살았습니다.그건 기적이 아닙니다 —그저 누군가가 외면하지 않았기 때문입니다.이제 다시 살아난 이 생명들이사랑받는 하루를 보낼 수 있도록끝까지 함께해주세요.💜만원릴레이에 동참해주세요 💗커피한잔 양보해주세요 후원계좌 : 농협 351-1192-4455-13✔️ PayPal < dlwns8050@kakao.com ※소득공제용 기부금 영수증 발행 가능프로필링크를 통해 정기후원 및 기부금영수증 발행신청이 가능합니다.※ 프로필 링크를 통해 정기후원을 하시면 별도 신청없이 자동으로 기부금영수증이 발행됩니다.✅ 한국리트리버레스큐는 회원님들의 후원금으로 운영되는 비영리단체입니다. 소중한 후원금의 사용내역은 매월 투명하게 네이버 카페 한국리트리버레스큐에서 공개됩니다.
1 week ago | [YT] | 1,374
View 17 replies
캐스퍼, 2차병원 진단 결과 및 치료 방향📣2차병원 일산동물의료원에서 받은 캐스퍼의 진단 결과 알려드립니다검사결과 현재 캐스퍼의 오른쪽 심장이 비대한 상황이고 초음파로 오른쪽 심장에 벌레들이 있는 것을 확인 할 수 있습니다. 심장 사상충이 원인인 것으로 보입니다.사상충으로 인해 심장이 비대해지면서 혈액순환이 되지 않아 폐동맥 고혈압이 발생, 그 결과 폐렴보다는 폐에 물이 차는 폐부종이라는 진단 결과를 받았습니다.어제 진행한 피검사에서 혈전 수치가 높은 것으로 보아 폐에 혈전까지 의심되어지는 상황입니다.여러모로 위험한 상태였습니다ㅠ캐스퍼는 일산동물의료원에 입원하여 이뇨제를 이용하여 폐에 물을 빼고, 혈전 관련해서는 고혈압 치료제를 사용하면서 상태를 지켜볼 계획입니다.현재 문제가 되는 부분을 치료 후에도 캐스퍼는 꽤 오랫동안 혈전약을 먹어야 할 지도 모릅니다.💖캐스퍼의 병원비 모금에 동참해주세요. 💕만원릴레이로 힘이 되어주세요.안락사 위기에서 내어준 손을 다시 한 번 아이들에게 내어주세요. 캐스퍼의 병원비에 같이 힘을 보태주시길 부탁드립니다.후원계좌 : 농협 351-1192-4455-13✔️ PayPal < dlwns8050@kakao.com ※소득공제용 기부금 영수증 발행 가능프로필링크를 통해 정기후원 및 기부금영수증 발행신청이 가능합니다.※ 프로필 링크를 통해 정기후원을 하시면 별도 신청없이 자동으로 기부금영수증이 발행됩니다.✅ 한국리트리버레스큐는 회원님들의 후원금으로 운영되는 비영리단체입니다. 소중한 후원금의 사용내역은 매월 투명하게 네이버 카페 한국리트리버레스큐에서 공개됩니다.
1 week ago | [YT] | 1,063
View 16 replies
Load more
한국리트리버레스큐( Korea Retriever Rescue)
25.11.16 | 캐스퍼, 폐부종과 혈전으로 재입원
캐스퍼가 폐부종을 진단받고 입원과 퇴원을 반복하며 어려운 치료를 이어나가고 있는 중이었는데요ㅠ
오늘 아침부터 컨디션이 좀 떨어지다가 피가 섞인 토를 해서 급하게 병원에 다시 진료를 받으러 갔습니다
대표님이 집에서 매일 산소치료와 약물치료를 병행했지만 진단받은 폐부종과 혈전이 좀처럼 나아지지 않고 있습니다ㅠ
진료결과 수치가 그다지 나아지지 않고 좋지 않은 상태를 보이고 있기에 캐스퍼는 다시 병원에 입원하여 집중치료를 받게 되었습니다.
폐 관련 질환은 빠른 시일내에 쉽사리 나아지지 않습니다. 캐스퍼도 지켜본 결과 입원이 길어질 것으로 보입니다.
캐스퍼에게 사랑받는 가족을 만들어주고 싶은데 쉽지 않네요ㅠ
우리 캐스퍼가 건강해질 수 있도록 도와주세요.
대형견의 입원과 집중치료의 병원비는 믿을 수 없이 큰 비용이 듭니다. 캐스퍼에게 필요한 도움을 줄 수 있도록 마음을 보태주세요.
💖캐스퍼의 병원비 모금에 동참해주세요.
💕만원릴레이로 힘이 되어주세요.
🔽
🔸농협-351-1192-4455-13 한국리트리버레스큐
🔸paypal-dlwns8050@kakao.com
🔸정기후원신청-인스타상단 링크트리 클릭
✅ 공제자 명의의 실명이 포함된 후원만 기부금 공제가 가능합니다.
🚩한국리트리버레스큐는 회원님들의 후원금으로 운영이 되는 비영리단체입니다. 소중한 후원금의 사용내역은 매월 투명하게 공개됩니다.
10 hours ago | [YT] | 907
View 13 replies
한국리트리버레스큐( Korea Retriever Rescue)
📢 2025년 기부금 영수증 발급 신청 안내 드립니다.
✔️2025년 12월 31일까지 자료 제출 부탁 드립니다. 기한내에 제출하셔서 발급을 완료해야 연말정산 간소화 서비스에서 확인 가능 하십니다.
기부금영수증 발행의 경우 주민등록번호(뒷자리 포함)가 반드시 필요합니다.
한국 리트리버 레스큐는 비영리 민간단체로써 개인과 개인사업자에게 기부금영수증 발행이 가능합니다.
📌정기후원 CMS로 기부중인 회원님께서는 별도의 자료가 필요하지 않습니다.
자동발급 되니 중복신청에 유의해 주세요.
📌이중발급은 신청자 본인에게도 불이익이 될 수 있습니다.
ㅡㅡㅡㅡㅡㅡㅡㅡ
*일시후원,물품후원 등 추가 내용만 보내 주시면 됩니다.
*기부금영수증에 관한 자료는 이메일로 받습니다.
*메일제목에 성함 꼭 써주세요*
🎈 pvc79@naver.com 기부금영수증 발급에 필요한 자료와 문의사항 보내주세요
1. 성명 :
2. 주민등록번호전체 :
3. 기부금영수증 총 발행금액 :
4. 연락처 :
5. 이메일주소
6. 현금후원의 경우 : 이체내역 증빙 (은행 앱 또는 이체확인증, ATM 영수증캡쳐본) 첨부
7. 현물후원의 경우 : 현물의 구매영수증 캡쳐사진, 수량, 총 금액
※ 파일이 여러개인경우 압축해서 업로드 해주세요 (총 용량 100MB 이하만 업로드 가능)
2 days ago | [YT] | 407
View 1 reply
한국리트리버레스큐( Korea Retriever Rescue)
오늘도 리버큐 쉼터는 웃음소리와 꼬리 흔드는 소리로 가득합니다.
각자의 아픈 사연을 안고 구조된 아이들이지만, 이곳에서는 모두 가족이 되었어요.처음엔 서로 낯설어 조심스러웠던 아이들도
이젠 함께 놀고.
햇살 좋은 날이면 마당에 나와 꼬리를 흔들며 장난을 치고
서로의 몸에 기대어 잠이 듭니다.아픔을 겪었던 아이들이지만
이젠 서로의 존재 덕분에 다시 웃음을 배우고 있습니다.
우리 아이들이 이렇게 행복하게 지낼 수 있도록
따뜻한 관심과 응원 보내주신 모든 분들께 감사드립니다.
🔸농협-351-1192-4455-13 한국리트리버레스큐
🔸paypal-dlwns8050@kakao.com
🔸정기후원신청-인스타상단 링크트리 클릭
✅ 공제자 명의의 실명이 포함된 후원만 기부금 공제가 가능합니다.
🚩한국리트리버레스큐는 회원님들의 후원금으로 운영이 되는 비영리단체입니다. 소중한 후원금의 사용내역은 매월 투명하게 공개됩니다
2 days ago | [YT] | 1,281
View 9 replies
한국리트리버레스큐( Korea Retriever Rescue)
25.11.11 | 캐스퍼, 퇴원
캐스퍼가 퇴원했습니다.
대표님 집에서 산소치료와 약을 통해 치료와 케어에 집중하려고 합니다.
당분간 집에서 케어를 하면서 병원 검진도 병행하고자 합니다.
일주일 입원비가 250만원이 청구되었네요ㅠ
현미 수술비에 다른 아이들 사상충 치료비까지 현재 우리 단체는 재정난에 흔들리고 있습니다. 하지만 아낄 수도 없는 비용이 치료비입니다.
아이들이 건강해져서 가족의 품에 갈 수 있도록 치료비에 힘을 보태주세요.
💖캐스퍼의 병원비 모금에 동참해주세요.
💕만원릴레이로 힘이 되어주세요
🔽
🔸농협-351-1192-4455-13 한국리트리버레스큐
🔸paypal-dlwns8050@kakao.com
🔸정기후원신청-인스타상단 링크트리 클릭
✅ 공제자 명의의 실명이 포함된 후원만 기부금 공제가 가능합니다.
🚩한국리트리버레스큐는 회원님들의 후원금으로 운영이 되는 비영리단체입니다. 소중한 후원금의 사용내역은 매월 투명하게 공개됩니다.
4 days ago | [YT] | 1,237
View 6 replies
한국리트리버레스큐( Korea Retriever Rescue)
[3차수술] 현미
단체 스텝이면서 현미의 임보가족으로 현미의 수술 후 회복사진을 보니 가슴이 미어집니다.
🆘현미 예상 수술비 800만원 이상
현재+캐스퍼 모금액 대략 200만원 조금 넘어요. 도와주세요
현미는 번식장에서 태어나 펫샵 진열장에 전시되어 운좋게도 가족을 만나 집으로 갔지만 결국 덩치가 커지면서 파주의 공장 한켠에 버려졌습니다.
현미는 정말 운이 좋게 대표님이 현미의사연을 듣게되었고 아픈다리의 어린 아이를 공장 방치견으로 살게 둘수없어 리버큐의 가족이 되었습니다.
다리가 아픈친구라 쉼터생활이 힘들어서 저희집에서 지내며 치료후 미국으로 떠날 아이였지만 현미의 다리는 나날이 상태가 안좋아졌고 2차 병원 여러군데에서 진료를 보았습니다.
아직 어린 아기라 성장판이 있었기때문에 진통제를 먹으며 견뎌오다 드디어 기다리던 1차 수술을 했지만 실패로 돌아왔고 한달 후 2차 수술 역시 실패였습니다.
사회화를 배울시기에 혼자있는걸 배운 아이입니다.
현미에게 더 넓은 세상을 보여주고자 임보를 선택했는데 제가 해줄수있는건 밥을 주고 배변을 시켜주는것외엔 없었습니다.
사고칠나이에 그냥 조용히 누워 자는 안쓰런 아이입니다. 우리 현미가 3차 수술을 마지막으로 더이상 수술대에 눕는일이 없길 바랍니다.
현미의 수술비가 생각보다 많이 청구될것같습니다.
현미를 안타깝게 여기시고 커피한잔 양보해주세요.
현미를 가장 가까이에서 보는 저의 간절한 울림이 이 글을 보는 회원님들께 전해지길 바랍니다.
간절히 부탁드립니다.
이 어린 아이를 가엽게 여겨주세요.
▪️농협-351-1192-4455-13 한국리트리버레스큐
▪️paypal-dlwns8050@kakao.com
▪️정기후원신청-인스타상단 링크트리 클릭
☑️공제자 명의의 실명이 포함된 후원만 기부금 공제 가능합니다.
🚩한국리트리버레스큐는 회원님들의 후원금으로 운영되는 비영리단체입니다. 소중한 후원금의 사용내역은 매월 투명하게 관리됩니다
5 days ago | [YT] | 1,515
View 24 replies
한국리트리버레스큐( Korea Retriever Rescue)
아이들의 새 출발을 함께 지켜봐 주세요. 💛🐾
동구협에서 아이들을 무사히 구조하여 드디어 리버큐에 잘 도착했습니다.
안락사의 문턱에서 가까스로 생명을 건진 아이들이 이제 안전한 품으로 돌아왔어요.
아직은 낯설고 두려운 눈빛이지만,
이제부터는 따뜻한 밥과 포근한 잠자리, 그리고 사랑만 받으며 지낼 거예요.
다섯 아이 모두 큰 문제 없이 건강하게 구조되어 정말 다행입니다.
이 생명들을 살리기 위해 함께 마음 모아주신 모든 분들께
진심으로 감사드립니다.
이제 리버큐에서 새로운 희망의 하루를 시작할 다섯 아이들을
따뜻하게 응원해 주세요. 💛🐾
검진,사상충 치료와 중성화
아이들에게 만원릴레이에 동참해주세요
후원계좌 : 농협 351-1192-4455-13
✔️ PayPal < dlwns8050@kakao.com
※소득공제용 기부금 영수증 발행 가능
프로필링크를 통해 정기후원 및 기부금영수증 발행신청이 가능합니다.
※ 프로필 링크를 통해 정기후원을 하시면 별도 신청없이 자동으로 기부금영수증이 발행됩니다.
✅ 한국리트리버레스큐는 회원님들의 후원금으로 운영되는 비영리단체입니다. 소중한 후원금의 사용내역은 매월 투명하게 네이버 카페 한국리트리버레스큐에서 공개됩니다.
#골든리트리버 #리트리버 #강아지 #대형견 #사지말고입양하세요 #동물권 #동물구조 #래브라도리트리버 #골든두들 #한국리트리버레스큐 #반려견 #개
1 week ago (edited) | [YT] | 1,353
View 14 replies
한국리트리버레스큐( Korea Retriever Rescue)
안녕하세요.
저는 한국리트리버레스큐 유기견구조단체에서 봉사활동을 하고 있는 봉사자입니다🙂
구조된 강아지들이 캐나다에서 가족을 찾았지만 이동봉사자님을 찾기 어려워 가족을 만나지 못하고 있습니다.
그래서 이렇게 도움 요청드리고자 글을 올리게 되었습니다.
이동봉사에는 어떤 경제적인 부담도 들지 않습니다. 그저 출국 당일 원래 오시는 시간보다 한시간 빨리 공항에 와주시면 됩니다. 모든 절차, 비용 모두 단체가 진행합니다. 도와주세요🥹
관심이나 궁금하신 부분 있으시면 카톡 아이디
jihye-h 또는 jihye-h@naver.com으로 연락주시면 답변 드리도록 하겠습니다. 단체명(한국과 캐나다 모두), 정보, 절차도 모두 자세히 설명 드리겠습니다🙂
읽어주셔서 감사드립니다. 부디 많은 관심 가져주시길 부탁드립니다.
문의 카톡 Retriever80
#캐나다이동봉사 #벤쿠버
#토론토 #이동봉사급구
#라스베가스
#하늘길동행해주세요
1 week ago | [YT] | 1,162
View 9 replies
한국리트리버레스큐( Korea Retriever Rescue)
🐾 새로운 시작을 앞둔 두 아이, 레이시과 맥레인 🐾 두아이는 내일 리버큐 품으로 이동합니다.
안락사 직전에 극적으로 구조된 두 생명,
골든리트리버 맥레인 과 믹스견 ‘레이시가
이제 우리 품으로 오게 되었습니다.
세상의 끝자락에서 구조된 아이들이지만,
이제는 따뜻한 손길과 사랑을 배우며
다시 살아갈 희망을 품게 되었습니다.
맥레인과 레이시에게는
이제 두려움 대신 사랑이, 외로움 대신 가족이 필요합니다.
이 아이들의 새 출발을 함께 지켜봐 주세요.
그리고 부디, 앞으로의 길이 더 이상 아프지 않기를… 🕊️💛
💕두아이 도움주시 분들께
감사 인사 전합니다 🙏
🔽
🔸농협-351-1192-4455-13 한국리트리버레스큐
🔸paypal-dlwns8050@kakao.com
🔸정기후원신청-인스타상단 링크트리 클릭
✅ 공제자 명의의 실명이 포함된 후원만 기부금 공제가 가능합니다.
🚩한국리트리버레스큐는 회원님들의 후원금으로 운영이 되는 비영리단체입니다. 소중한 후원금의 사용내역은 매월 투명하게 공개됩니다.
1 week ago | [YT] | 1,204
View 13 replies
한국리트리버레스큐( Korea Retriever Rescue)
💛 오늘, 세 생명이 철창을 나왔습니다
오늘 우리는 동구협에서 세아이을 구조했습니다.
며칠 전까지만 해도 이 아이들은
“입양 문의가 없다는 이유로”
안락사 명단에 오른 아이들이었습니다.
좁고 차가운 철창 안에서
누군가 자신을 보러 와주길,
꼬리를 흔들어도 외면당하지 않길 바라던 아이들.
오늘, 그 아이들이 드디어 밖으로 나왔습니다.
처음 세상을 마주한 아이들의 눈빛은
두려움과 설렘이 뒤섞인 듯 떨렸습니다.
하지만 사람의 손길을 느끼자
서서히 꼬리를 흔들며 마음을 열기 시작했습니다😍
사람의 관심 한 번 없던 아이들이
오늘은 여러분의 사랑으로 다시 숨을 쉬고 있습니다.
오늘 세 아이는 살았습니다.
그건 기적이 아닙니다 —
그저 누군가가 외면하지 않았기 때문입니다.
이제 다시 살아난 이 생명들이
사랑받는 하루를 보낼 수 있도록
끝까지 함께해주세요.
💜만원릴레이에 동참해주세요
💗커피한잔 양보해주세요
후원계좌 : 농협 351-1192-4455-13
✔️ PayPal < dlwns8050@kakao.com
※소득공제용 기부금 영수증 발행 가능
프로필링크를 통해 정기후원 및 기부금영수증 발행신청이 가능합니다.
※ 프로필 링크를 통해 정기후원을 하시면 별도 신청없이 자동으로 기부금영수증이 발행됩니다.
✅ 한국리트리버레스큐는 회원님들의 후원금으로 운영되는 비영리단체입니다. 소중한 후원금의 사용내역은 매월 투명하게 네이버 카페 한국리트리버레스큐에서 공개됩니다.
1 week ago | [YT] | 1,374
View 17 replies
한국리트리버레스큐( Korea Retriever Rescue)
캐스퍼, 2차병원 진단 결과 및 치료 방향
📣2차병원 일산동물의료원에서 받은 캐스퍼의 진단 결과 알려드립니다
검사결과 현재 캐스퍼의 오른쪽 심장이 비대한 상황이고 초음파로 오른쪽 심장에 벌레들이 있는 것을 확인 할 수 있습니다. 심장 사상충이 원인인 것으로 보입니다.
사상충으로 인해 심장이 비대해지면서 혈액순환이 되지 않아 폐동맥 고혈압이 발생, 그 결과 폐렴보다는 폐에 물이 차는 폐부종이라는 진단 결과를 받았습니다.
어제 진행한 피검사에서 혈전 수치가 높은 것으로 보아 폐에 혈전까지 의심되어지는 상황입니다.
여러모로 위험한 상태였습니다ㅠ
캐스퍼는 일산동물의료원에 입원하여 이뇨제를 이용하여 폐에 물을 빼고, 혈전 관련해서는 고혈압 치료제를 사용하면서 상태를 지켜볼 계획입니다.
현재 문제가 되는 부분을 치료 후에도 캐스퍼는 꽤 오랫동안 혈전약을 먹어야 할 지도 모릅니다.
💖캐스퍼의 병원비 모금에 동참해주세요.
💕만원릴레이로 힘이 되어주세요.
안락사 위기에서 내어준 손을 다시 한 번 아이들에게 내어주세요. 캐스퍼의 병원비에 같이 힘을 보태주시길 부탁드립니다.
후원계좌 : 농협 351-1192-4455-13
✔️ PayPal < dlwns8050@kakao.com
※소득공제용 기부금 영수증 발행 가능
프로필링크를 통해 정기후원 및 기부금영수증 발행신청이 가능합니다.
※ 프로필 링크를 통해 정기후원을 하시면 별도 신청없이 자동으로 기부금영수증이 발행됩니다.
✅ 한국리트리버레스큐는 회원님들의 후원금으로 운영되는 비영리단체입니다. 소중한 후원금의 사용내역은 매월 투명하게 네이버 카페 한국리트리버레스큐에서 공개됩니다.
1 week ago | [YT] | 1,063
View 16 replies
Load more